ToolGroups
Introduction
As discussed in the Tools section, in order to use a Tool you should
fist add the tool via CornerstoneTools3D.addTool() AND then add and set them active on viewports via Tool Groups.
Tool Groups are a new concept in the Cornerstone libraries. The goal of ToolGroup is to define
a simple way to define tool behavior in a per viewport/per tool fashion. In addition, via a common ToolGroup
viewports can share the same configuration, modes and tools.
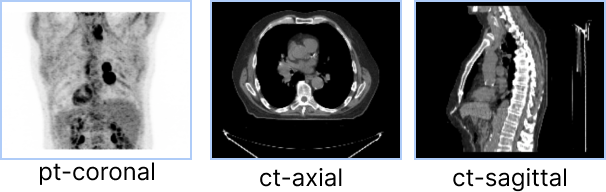
Consider the following set of viewports, and the desired behavior for scrolling and panning.

For ct-axial and ct-sagittal viewports, we want to enable scrolling by mouse wheel and panning by mouse middle button drag.
However, for the pt-coronal which is a Maximum Intensity Projection (MIP) viewport, scrolling through slices
has no meaning, and desired behavior is to rotate the MIP volume by mouse wheel and disable panning.

There is a one-to-one relationship between viewports and tool groups. In other words, no viewport can be part of more than one tool group.
ToolGroup Creation and Tool Addition
ToolGroups are managed by a ToolGroupManager. Tool Group Managers are used to create, search for, and
destroy Tool Groups.
Currently ToolGroups are not optional, and in order to use a tool you should create a toolGroup and add it to the toolGroup.
ToolGroupManager can be utilized to create a tool group using createToolGroup.
import { ToolGroupManager } from '@cornerstonejs/tools';
const toolGroupId = 'ctToolGroup';
const ctToolGroup = ToolGroupManager.createToolGroup(toolGroupId);
// Add tools to ToolGroup
// Manipulation tools
ctToolGroup.addTool(PanTool.toolName);
ctToolGroup.addTool(ZoomTool.toolName);
ctToolGroup.addTool(ProbeTool.toolName);
Adding Viewports to ToolGroups
Viewports should be added to the ToolGroup using addViewport.
// Apply tool group to viewport or all viewports rendering a scene
ctToolGroup.addViewport(viewportId, renderingEngineId);
Why we need to pass `renderingEngineId`?
The reason is viewportIds are unique to a rendering engine. You can have multiple rendering engines that
include different viewports with the same viewportId.
Activating a Tool
You can use setToolActive for each toolGroup to activate a tool providing a corresponding mouse bindings key.
// Set the ToolGroup's ToolMode for each tool
// Possible modes include: 'Active', 'Passive', 'Enabled', 'Disabled'
ctToolGroup.setToolActive(LengthTool.toolName, {
bindings: [{ mouseButton: MouseBindings.Primary }],
});
ctToolGroup.setToolActive(PanTool.toolName, {
bindings: [{ mouseButton: MouseBindings.Auxiliary }],
});
ctToolGroup.setToolActive(ZoomTool.toolName, {
bindings: [{ mouseButton: MouseBindings.Secondary }],
});
ctToolGroup.setToolActive(StackScrollMouseWheelTool.toolName);
Other Tool modes can also be set using setToolEnabled, setToolPassive, and setToolDisabled.
ToolGroup Manager
Other methods for managing ToolGroups are available via ToolGroupManager.
getToolGroupForViewport
returns the ToolGroup for a given viewport, read more here
getToolGroup
returns the ToolGroup for a given toolGroupId
destroyToolGroup
destroys a ToolGroup